Brain Stroke / Paralysis Treatment In Meerut
Let us learn about treatment of brain stroke and brain stroke recovery from the best Neurosurgeon in Delhi and Meerut and NCR, Dr. Amit Bindal.
Seek immediate treatment for paralysis of face and treatment for paralysis, surgery for clot in brain, surgery for brain hemorrhage from the top Neurosurgeon and best neurologist doctor in Delhi and Meerut, Dr. Amit Bindal at Bindal Brain and Spine Clinics, Meerut, who has more than 15 years of expertise in neurological disorders and brain surgery at affordable rates.
Treatment of brain stroke or paralysis
A stroke can happen to anyone at any age, but older people are more likely to have one. Recognizing the symptoms and being aware of the risk factors may help prevent a stroke.
Early diagnosis and treatment is very necessary for better results in case of paralysis.
Slurred speech, facial drooping, weakness or paralysis, and other symptoms can appear suddenly without any warning signs.
What is a brain stroke?
A brain stroke can occur when a blood vessel in the brain breaks and leaks. This is called hemorrhagic stroke or brain hemorrhage.
Hypertension or increased blood pressure is a very important cause of brain hemorrhage.
Sometimes, there’s a blockage in the blood supply to the brain. This blockage keeps blood and oxygen from reaching the brain tissue, which causes a variety of symptoms. This is called Ischemic Stroke or brain infarct.
When brain cells die, they do not regenerate, which can cause severe damage and lead to physical, cognitive, and mental impairments. It is crucial that the brain be restored with proper blood flow and oxygen as quickly as possible.
What are the three primary types of brain strokes?
- Transient ischemic attack (TIA): it involves a blood clot that normally reverses on its own within 24 hours.
In this type of stroke mild symptoms of paralysis occur which diminishes within a few minutes to few hours. - Ischemic stroke: it involves an arterial blockage caused by a clot or plaque.

The signs and problems of an ischemic stroke can last longer than those of a TIA or may persist permanently.
- Hemorrhagic stroke: it involves a blood vessel that bursts or leaks into the brain.

What causes a brain stroke?
Blockages in blood vessels leading to loss of blood supply to a part of the brain causes brain stroke.
Atherosclerosis is a slow process that causes this blockage.
Uncontrolled hypertension leading to rupture of blood vessel and formation of blood clot in brain is the main cause of hemorrhagic brain stroke.
What are the warning signs and symptoms that are noticed during a brain stroke?
Early stroke symptoms vary widely in their range and severity, but they all have one thing in common: they appear suddenly.
Brain stroke warning signs and symptoms include:
- Paralysis of one or both limbs on one side of the body, either partially or completely
- Sudden weakness or paralysis in the face, arm, or leg, especially on one side of the body
- Sudden trouble seeing in one or both eyes with blurred or blackened vision or double vision
- Sudden trouble walking and dizziness
- Loss of balance or lack of coordination
- Seizures or fits.
- Slurred speech
- Disorientation, confusion, or lack of responsiveness
- Sudden, severe headache with vomiting or unconsciousness
What are the conditions that increase the risk of having a brain stroke?
Certain risk factors make you more vulnerable to a brain stroke. These include:
- A sedentary lifestyle.
- Increased blood sugar levels.
- Consumption of tobacco.
- Being overweight or obese.
- Consuming excessive alcohol.
- High blood pressure.
- High cholesterol levels.
- Obstructive sleep apnea.
- Cardiovascular diseases.
- A family history.
- Age is another risk factor.
Which doctor is ideal for the treatment of brain stroke?
A Neurosurgeon doctor is well trained to understand all the facets of brain stroke along with its treatment with medicines or operation if required.
How will the doctor diagnose a brain stroke?
- Medical history: Your doctor will inquire about your symptoms and the circumstances surrounding their onset from you or a close relative, to determine your stroke risk factors.
- Physical examination: During this your physician will assess you for your weakness, balance, numbness, vision issues etc.
- Blood tests: Your doctor may order various blood tests to determine your blood sugar levels, platelet counts, cholesterol levels or whether you have any infections.
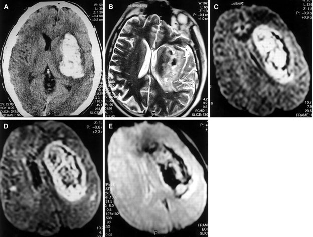
- MRI and CT scan: Your physician may order MRI or CT scan or both.
- Electrocardiogram (EKG): It can reveal if you have any heart issues that could have caused a stroke.
- Cerebral angiogram: To know the condition of blood vessels of brain and to assess the blood flow to brain.
- Carotid ultrasound: It might reveal whether your carotid arteries are narrowed or blocked.
- Echocardiogram: It can locate the sources of clots in your heart. Your brain could have been affected by these clots, leading to a stroke.
When do you need to call for an emergency?
Early stroke symptom detection and early treatment management are crucial for preventing long-term disability.
When a stroke first appears, act FAST. The letters F.A.S.T. can be used to recognize stroke symptoms and determine whether to call for an emergency.
- F: Facial muscle weakness
- A: Arm weakness
- S: Speech impairment
- T: It’s time to call for an emergency
Which doctor is ideal for the treatment of paralysis?
A Neurologist or a Neurosurgeon doctor is well trained to understand all the facets of brain hemorrhage and clot in brain.
A Neurosurgeon will in addition take care of the surgery for brain in case a operation is required for brain stroke and paralysis.
What are the treatment options available for ischemic brain stroke?
Treatment of paralysis of patients who present within 4 hours.
These patients who present at an very early stage have the best chance of recovering. The treatment options include:
- Thrombolysis of clot via injection of clot dissolving agents.
The most commonly used drug for thrombolytic therapy is tissue plasminogen activator (tPA) - Mechanical thrombectomy:
A procedure to remove the clot from the blood vessel via catheter mounted balloon is also advised in some cases. - Reperfusion therapies, such as thrombolytic therapy and endovascular therapy, are available as immediate treatments for ischemic stroke.
Patients who experience strokes owing to blockages in the neck carotid arteries should consider preventive surgical procedures. The procedures for carotid vascular disease include carotid endarterectomy, carotid angioplasty, and stenting.
Treatment of paralysis in patients who present later than 4 hours after the onset of symptoms
These patients will require different medications for decreasing swelling in brain, to prevent seizures and anti platelet drugs like aspirin to prevent clotting in brain and medicines for the recovery of nerve function.
Physiotherapy has a major role in the recovery of patients with paralysis. Patients must undergo regular physiotherapy for at least 3-4 mnths for good results.
Treatment of a large brain infarct with surgery
Sometimes in brain stroke a large swelling in the brain may occur which may be life threatening.
In these cases a surgery may be required to decrease the swelling of brain. This is done by removing a part of skull, expanding Dural sheath with artificial graft and placement of bone flap in fat of anterior abdominal wall or bone bank.
What are the treatment options available for the brain hemorrhage?
The treatment includes some medicines to control brain swelling and medicines for the control of seizures.
Some patients with large brain clots or with brain swelling may require brain surgery to decrease brain swelling.
Why does your doctor need to perform surgery for your brain hemorrhage?
To stop more harm to your brain, emergency surgery might be required. Brain surgery is required to relieve pressure.
How long does it take to recover after paralysis?
It may take a few weeks or even up to 4-5 months for the paralysis to completely recover after the emergency management in the hospital, but everything depends on how severe the symptoms were and which part of the brain was affected.
Even after completing the treatment, occasionally a patient may not fully recover.
It will take up to 6-8 months for the full recovery of symptoms of paralysis.
Some patients have complete recovery, but some patients recover only partially.
Unfortunately, if the paralysis persists even after 6-8 months of treatment, there is minimal chance of improvement after that.
How do you prevent a brain stroke?
One should take care of the following in order to prevent the occurrence of this disease:
- Avoid smoking.
- Avoid alcohol consumption.
- Continue to eat a healthy diet.
- Regularly check your blood pressure.
- Regularly taking blood-thinning medicines.
How much does surgery for brain stroke cost in India?
We at Bindal Clinics believe in affordable health care for all.
Surgery for brain stroke and brain surgery for clot in brain and large brain stroke at Bindal Clinics costs around 80,000 rupees to 1 lac rupees.
In big corporate hospitals in India this type of surgery costs anywhere between 2.5 lakh rupees and go up to 5 lakh rupees.
We operate with all the latest state of art gadgets like surgical Microscope, Endoscopic system, CUSA (cavitron ultrasonic aspirator), High Speed Drill system, neuronavigation etc.
We believe in the best possible outcome of surgery for patients with brain tumors.
Experience state-of-the-art treatment at Bindal Clinics
We want the best for your brain and spine health here at the Bindal Clinics in Meerut.
Schedule a consultation to discuss more about the brain stroke, paralysis of one side of body, facial paralysis, brain hemorrhage and clot in brain with the best Neurosurgeon in Delhi and Meerut, Dr. Amit Bindal, who has more than 15 years of expertise in Brain surgery and Spine surgery at affordable rates and excellent outcome.

Dr Amit Bindal, best neurologist in Delhi and Meerut

Dr Amit Bindal, best neurosurgeon in Delhi and Meerut

Treatment of clot in brain at Bindal clinics, Meerut

Brain Stroke treatment at Bindal clinics, Meerut
Brain Stroke Treatment | Paralysis | Dr. Amit Bindal | Bindal Clinics
In this video senior Neurosurgeon at Bindal Clinics Meerut, Dr. Amit Bindal explains about the various causes of brain stroke or PARALYSIS in common language , how to recognize stroke and about the treatment and recovery.
सर्दियों में बुजुर्गों को ब्रेन स्ट्रोक से कैसे बचाएँ
How to take care of our elders this winter season Let us learn from an expert Bindal Brain and Spine Clinic
Clot in Brain | Treatments | Brain surgery | Success story @BindalClinics
A serious patient with clot in brain. But right treatment at the right time saved his life and he tremendously recovered by the operation. Bindal Brain and Spine Clinics
Latest techniques and advanced gadgets for treatment of brain stroke at Bindal Clinics Meerut
